Like amalgam, but white
Like an amalgam
Rok can be placed like an amalgam. The exceptional packable heavy body nature of Rok means the use of a conventional amalgam condenser is possible.
Color range
Rok’s shades are ideal for all osterior restorations.
- A2, A3, A3.5, B1, B2, C2

Compressive strength
A high compressive strength enhances longevity of a composite by withstanding mastication forces. Rok’s optimum filler level maximizes strength.

Low shrinkage
Rok exhibits low polymerization shrinkage. Utilizing longer resin chains with fewer monomer links, Rok has a very low shrinkage. Lower shrinkage minimizes sensitivity and microleakage; an effective seal against microleakage decreases the potential for secondary caries development.

Bond strength
Stae, a fluoride releasing single component bonding agent, exhibits uniform bonding to the tooth structure with no gaps or voids visible within the hybrid layer. (2)

High filler level
Rok’s high filler level of glass particles maximizes strength, whilst minimizing wear and shrinkage.

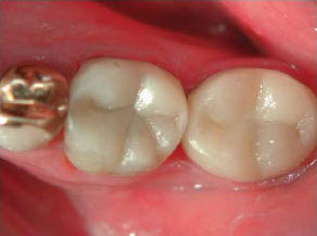
Before

After

Photos courtesy of Dr Geoff Knight.
Indications
- Posterior restorations
- Sandwich technique with lass ionomers
- Cusp build up
- Core build up
- Splinting
* Alert, P60, Surefil, Heliomolar HB, Single Bond, Optibond Solo, One Step and Bond-1 are not the registered trademarks of SDI Limited.
** Source-Published and SDI test data.
(1) Reality 2003 Volume 17.
(2) Duke E. S., DDS, MSD, (1997). Ultrastructural and physical property studies of Stae single component adhesive system. The University of Texas Health Science Center, San Antonio, USA.
English
Australia -
New Zealand -
United States -
Canada -
Canada -
Central/South America -
Brazil -
United Kingdom -
Ireland -
Germany -
France -
Italy -
Spain -
Poland -
Portugal -
Czech Republic -
Other European countries -





